新闻中心
News Center
了解生航实时动态
07
2023
-
09
细胞培养小贴士—Hepg2人肝癌细胞
作者:
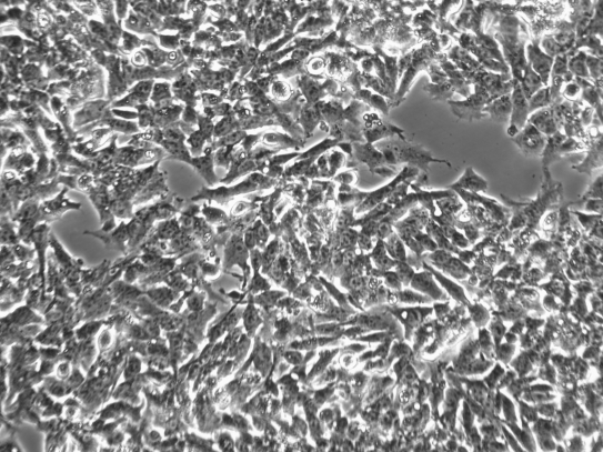
Hepg2人肝癌细胞
Hep G2是从一名患有癌症的15岁白人男性青年的肝细胞癌中分离出来的一种具有上皮样形态的细胞系。该细胞系由Wistar Institute保藏,是合适的转染宿主。表达标记物包括胰岛素;胰岛素样生长因子II(IGF II)。
该细胞表达3-羟基-3-甲基戊二酸辅酶A还原酶和肝甘油三酸脂脂肪酶。该细胞在有百草枯的环境下过氧化氢酶mRNA表达增加,ApoA-I mRNA 表达减少。
Hep G2细胞具有上皮样形态,最初附着在细胞的小块中,许多簇仍处于悬浮状态。几天后,生长将从粘附的细胞集落向外延伸。偶尔,细胞会堆积在粘附的集落上,形成多层外观,这对该细胞系来说并不罕见。是一种粘附细胞系。然而,一些细胞培养物比其他细胞培养物需要更长的时间才能附着。在从冷冻保存中恢复的第一周,培养物中的漂浮细胞是正常的。如果存在大量漂浮物,特别是在生长的第一周,请在前3天保持不受干扰。如果仍然有很多漂浮物,用台盼蓝检查生存能力。不要丢弃漂浮的细胞,当每2或3天喂入新鲜培养基时,应通过温和离心将其保留并添加回粘附群体中。
肝炎病毒研究:HepG2不含hepatitis B virus (HBV)和hepatitis C virus (HCV),因此HepG2是常用的研究HBV和HCV细胞系模型。
体外HCC模型:HepG2是一种来源于肝细胞癌(HCC)患者肝组织的细胞系,是常见的体外HCC模型。HepG2中p53抑癌基因无突变,因此可用于研究p53与肝细胞癌(HCC)的密切关系,以及HCC的发病、诊治、预防。
药物研究:肝脏是人体内药物代谢的最主要器官,也是重要的解毒器官。HepG2细胞系无论在形态上还是功能上都更接近于人的肝组织,该细胞系常用于药物代谢和肝毒性研究。
1、空泡现象
HepG2细胞中常有空泡,这是该细胞正常特性,不影响细胞生长,无需担心。
2、细胞生长慢
培养条件适宜的情况下,在T25培养瓶中生长的HepG2细胞,以1:2传代后,培养2-3天可以到达80%汇合率。若细胞生长过慢甚至不生长,可将血清增加至15%-20%(不要超过20%),待细胞恢复生长速度后再将血清比例降低到10%。
细胞接种密度不可过低,否则生长非常缓慢。
3、细胞聚团或不贴壁
血清品牌和培养基pH是影响HepG2细胞贴壁性的关键因素。
通常HepG2细胞呈单层生长,但遇到不合适的血清细胞可能呈现聚集倾向,最终聚团且不易消化开;也可能贴壁性变弱,漂浮细胞变多。使用高质量低内毒素未灭活的胎牛血清,可以帮助细胞更好地贴壁及形成单层细胞。
pH过高过低都将影响细胞贴壁性,每天观察培养器皿中培养基的颜色,偏黄及时换液,偏紫时检查培养箱CO2供应是否正常,培养瓶是否透气,并及时换液。
4、漂浮细胞多
排除上文中提到的血清和pH对细胞贴壁的影响,传代或复苏后若有部分细胞漂浮,是正常现象,随着培养部分漂浮细胞会逐渐贴壁。漂浮细胞较多时不要扔,使用台盼蓝检查细胞活性,若大部分是活细胞,将这些细胞离心收集后重新接种至原瓶。增加血清量(总比例不超过20%)可以促进贴壁。
消化时需注意时间不能太长,中和时轻柔吹打,控制吹打次数和力度,可有效减少传代后漂浮细胞。
5、有圆形细胞粘附在贴壁的单层细胞上
这在HepG2培养时是常见现象,这些细胞可能是尚未完全贴壁或者正处于分裂期的细胞,无需对此特殊处理。

hepg2细胞图片
关注公众号